Ndjenja e të qenit me dhëmbë të dobët mund të jetë pasojë e parodontitit. Nëse nuk ka infeksion, rënia e dhëmbëve mund të tregojë osteoporozë.
A i dini çrregullimet kryesore të zgavrës së gojës?
Goja funksionon si një derë hyrëse në trup në mënyrë që t’i sigurojë organizmit lëndet ushqyese, ujin dhe gjithçka që i nevojitet për të punuar në kushte të mira.
Përveç se luan një rol themelor për shëndetin tonë, ai është gjithashtu mjeti përmes të cilit hyjnë mikroorganizmat të cilat në planin afatgjatë mund të lindin sëmundje të ndryshme të zgavrës së gojës.
Çdo ditë kujdesemi për mirëmbajtjen e higjenës së mirë të gojës, me synimin për të eleminuar shumicën e viruseve dhe baktereve që mund të shkaktojnë probleme të dhëmbëve ose erë të keqe të gojës.
Përveç shqetësimit për këtë, duhet të marrim parasysh edhe disa shenja paralajmëruese që mund të shfaqen në gojë dhe që na tregojnë një problem shëndetësor.
1. Dhimbje në nofulla dhe dhëmbë:

Nëse dhimbja ndodh në nofullën e poshtme dhe shoqërohet më pas me simptoma të tilla si lodhje dhe dhimbje gjoksi që përhapen në krahë, mund të jetë një sulm në zemër, duhet patjeter të këshilloheni me mjekun tuaj.
Nëse, nga ana tjetër, ndodh në pjesën e sipërme të dhëmbëve, gjëja më e mundshme është se tregon sinusit. Ky problem ndodh kur kavitetet që rrethojnë pasazhet e hundës inflamohen, duke shkaktuar dhimbje që prek nofullën, dhëmbët dhe kokën.
Në këto raste është më e zakonshme që dhimbja të jetë për shkak të tensionit të muskujve, e shkaktuar nga shtrëngimi i dhëmbëve gjatë natës.
2. Lezione dhe ulçera të gojës:
Aftet, herpesi, leuklopakia dhe kandidoza (kërpudhat) janë ndër çrregullimet më të zakonshme të gojës, të cilat mund të ndodhin në çdo kohë.
Çdo dëmtim ndodh për shkaqe të veçanta dhe është shumë e rëndësishme t’i kushtohet vëmendje, pasi ato mund të varen nga një sëmundje, infeksion, temperature e lartë ose acarim i shkaktuar nga pajisjet ortodontike.
3. Era e keqe e gojës:

Në 90% të rasteve, aroma e keqe e gojës vjen nga goja dhe shoqërohet me baktere të pranishme në pjesën e sipërme të gjuhës dhe sëmundje të mishit të dhëmbëve.
Por, në 10% të rasteve, kjo mund të tregojë diabetin e tipit 2, mosfunksionimin e mëlçisë, veshkave ose zorrëve.
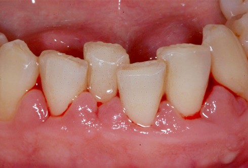
4. Ndryshimet në pamjen e mishrave të dhëmbëve:
Mishrat e bardhë mund të tregojnë anemi. Duke u ulur numri i qelizave të kuqe të gjakut, mishrat bëhen të zbehtë. Në përgjithësi, në këto raste ka edhe një skuqje të gjuhës, e cila do të jetë e inflamuar dhe me shkëlqim.
Nëse mishrat janë të skuqur dhe të inflamuar, ata paralajmërojnë praninë e një infeksioni të shkaktuar nga bakteret, i njohur si gingiviti.
5. Humbja ose rënia e dhëmbëve:
Nëse papritmas filloni të ndiheni sikur dhëmbët po dobësohen, si dhe të vini re se mishrat e dhëmbëve janë të kuqërremtë dhe me shkëlqim, është shumë e rëndësishme që të konsultoheni me mjekun tuaj stomatolog, pasi kjo mund të jetë periodontiti.
Në këtë rast, simptomat e gingivitit të pakontrolluar përparojnë dhe ndikojnë në ligamentet që mbështesin dhëmbin.
Mirëpo, nëse nuk ka shenja të infeksionit por ende keni filluar të humbni dhëmbët tuaj, mund të jetë një simptomë e hershme e osteoporozës, e cila po përparon.
Në veçanti, gratë në menopauzë duhet t’i kushtojnë vëmendje të madhe këtyre sinjaleve, pasi gjatë kësaj faze dendësia e mineraleve në kocka zvogëlohet, dhe kjo mund të shkaktojë zhvillimin e një sëmundjeje kronike.
6. Gjakderdhja e mishrave të dhëmbëve:

Kjo është një simptomë e zakonshme kur ndodh dëmtimi i mishit të dhëmbëve ose infeksioni. Por, gjakderdhja e shpeshtë dhe e rëndë mund të tregojë dhe leuçemi.
Nëse ka edhe gjakderdhje nga hunda, atëherë mund të jetë një problem mëlçie. Mëlçia prodhon substanca që lehtësojnë mpiksjen e gjakut; prandaj, kur mëlçia është dëmtuar, mund të ndodhë gjakderdhje nga hunda dhe mishrat e dhëmbëve.
Në secilin rast, duhet të vizitoni mjekun tuaj, pasi injorimi i këtyre simptomave mund të çojë në probleme më serioze.
Gjatë menopauzës ose kur merrni acid acetizalicilik, mund të ndodhë gjakderdhje e lehtë. Në këto dy raste, nuk ka asnjë arsye për tu alarmuar, dhe do të jetë e mjaftueshme për tu shpëlarë me ujë dhe pak sodë buke për tu dezinfektuar.
Lexo edhe:

